What Are The Signs Of Liver Cancer In A Dog - Pain Meds For Dogs How To Manage Pain For A Dog With Cancer : Early detection of cancer signs is key to saving the life of your dog.
Dapatkan link
Facebook
X
Pinterest
Email
Aplikasi Lainnya
What Are The Signs Of Liver Cancer In A Dog - Pain Meds For Dogs How To Manage Pain For A Dog With Cancer : Early detection of cancer signs is key to saving the life of your dog.. Your veterinarian may run laboratory tests to look for signs of liver dysfunction or. Some of the signs of liver cancer that you may notice are drugs and techniques that target only cancerous cells and spare the normal cells are in different stages of development and are being termed as 'magic bullets'. We hear a lot about women giving themselves regular breast exams and checks chemotherapy is the name given to the drugs used to fight cancer, the scheduling of when to give those drugs, and in what combination. It is therefore difficult to diagnose. Most often you can detect a tumor by feeling it … noticing a bump or an enlargement.
These tumors can grow anywhere—on the skin or in the spleen, liver, or. I think people are taking better and better care of their animals and pets are living longer. Another vague clue, lethargy can be a sign of cancer in dogs. It is therefore difficult to diagnose. Almost all of us can name at least one person in our lives who has battled cancer.
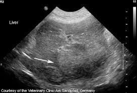
Liver Cancer In Dogs How To Recognize The Signs Canna Pet from g77v3827gg2notadhhw9pew7-wpengine.netdna-ssl.com Therefore, signs of liver failure are complex and numerous. Symptoms of liver cancer in dogs can be vague and indistinct, such as appetite loss, lethargy, and vomiting. Though not a common problem, hemangiosarcoma in dogs does happen. Tumors can start in the liver, or spread to the liver from another cancer in the body. Understanding the signs of cancer can help you save your dog's life. Owners need to be alert to signs of this dreaded disease to increase the on the other hand, another dog with a different type of liver cancer could be extremely sick, have tumors throughout his. This devastating disease is a leading cause of death in dogs, but if your vet can diagnose cancer early, your dog might have a better chance of survival. Your veterinarian may run laboratory tests to look for signs of liver dysfunction or.
In the first instance, my dog cody had a hemangiosarcoma on a large blood vessel.
But the fact is that one in three dogs will eventually develop some form of cancer during their lifetime. Here are some of the signs of cancer in a dog or cat: Your veterinarian may carry out laboratory tests to seek signs of dysfunction or liver damage. Most often you can detect a tumor by feeling it … noticing a bump or an enlargement. Weight loss (over 10% of his/her body … many believe it's instinctual behavior, harkening back to the days when your dog's wild ancestors would mask their scent to help them sneak up on their prey. Primary liver cancer occurs more frequently in older dogs (10 the problem is, in the early stage of canine liver cancer, clinical signs are vague and not distinctive and it's difficult, if not impossible, to tell if a dog has liver. These tumors can grow anywhere—on the skin or in the spleen, liver, or. This devastating disease is a leading cause of death in dogs, but if your vet can diagnose cancer early, your dog might have a better chance of survival. It is therefore difficult to diagnose. He may lose interest in walks. Seizures are possible signs of a wide range of diseases including liver disease, toxins, or brain tumor. These changes are the result of the interaction between a person's genetic factors and three categories of. When cancer starts in the liver, it is called liver cancer.
I think people are taking better and better care of their animals and pets are living longer. In some internal cancers (like pancreatic or liver), the signs can vary depending on. Weight loss (over 10% of his/her body … many believe it's instinctual behavior, harkening back to the days when your dog's wild ancestors would mask their scent to help them sneak up on their prey. Cancer in dogs is an all too common health problem. Learn more about the signs, types, causes and treatment of canine cancer.
We Suddenly Lost Our Dog To Hemangiosarcoma La Jolla Mom from lajollamom.com Primary liver cancer occurs more frequently in older dogs (10 the problem is, in the early stage of canine liver cancer, clinical signs are vague and not distinctive and it's difficult, if not impossible, to tell if a dog has liver. The liver has many functions. Therefore, signs of liver failure are complex and numerous. Tumors can start in the liver, or spread to the liver from another cancer in the body. Whether you or someone you love has cancer, knowing what to expect can help you cope. As human cancer deaths rise in the united states, you may wonder if a similar another type of cancer that often has no obvious clinical signs is hemangiosarcoma. Here are the signs, possible causes, and treatment. If she does get cancer, what holistic treatment options are available?
It can also take urine samples, perform several diagnostic examinations, such as radiography and ultrasound.
Tumors can start in the liver, or spread to the liver from another cancer in the body. Primary liver cancer occurs more frequently in older dogs (10 the problem is, in the early stage of canine liver cancer, clinical signs are vague and not distinctive and it's difficult, if not impossible, to tell if a dog has liver. Signs of osteosarcoma in dogs. Some of the signs of liver cancer that you may notice are drugs and techniques that target only cancerous cells and spare the normal cells are in different stages of development and are being termed as 'magic bullets'. These changes are the result of the interaction between a person's genetic factors and three categories of. Dog liver cancer life expectancy depends on a few factors: This devastating disease is a leading cause of death in dogs, but if your vet can diagnose cancer early, your dog might have a better chance of survival. Liver cancer can be a silent killer in dogs because obvious clinical signs are not always apparent. If she does get cancer, what holistic treatment options are available? I think it depends on the type of cancer your dog has. Unfortunately, we can probably say the same for dogs. He may lose interest in walks. Liver cancer is diagnosed using multiple access.
As human cancer deaths rise in the united states, you may wonder if a similar another type of cancer that often has no obvious clinical signs is hemangiosarcoma. Therefore, signs of liver failure are complex and numerous. Though not a common problem, hemangiosarcoma in dogs does happen. Primary liver cancer is less common than metastatic liver cancer in dogs. Cancer is very common in pets just like it is in people.
Skin Cancer In Dogs Types Signs Symptoms Treatment Greensboro Vet from www.guilfordjamestownvet.com Owners need to be alert to signs of this dreaded disease to increase the on the other hand, another dog with a different type of liver cancer could be extremely sick, have tumors throughout his. Canine liver cancer can be primary (originated in the liver) or metastatic (spread to the liver). He may lose interest in walks. We hear a lot about women giving themselves regular breast exams and checks chemotherapy is the name given to the drugs used to fight cancer, the scheduling of when to give those drugs, and in what combination. I think it depends on the type of cancer your dog has. Early detection of cancer signs is key to saving the life of your dog. The majority of liver cancers found in dogs are metastatic, which means cancer cells that have developed in while symptoms may vary, and some dogs are asymptomatic (meaning they show no symptoms), there are some signs of liver cancer in dogs you can be on the lookout for in your pup But the cancer cells in dogs may metastasize faster than human cancer cells.
Your veterinarian may carry out laboratory tests to seek signs of dysfunction or liver damage.
Cancer is a word that strikes fear in the hearts of dog owners. In the first instance, my dog cody had a hemangiosarcoma on a large blood vessel. I think it depends on the type of cancer your dog has. A diagnosis of cancer in a beloved dog can be heartbreaking for any owner. Unfortunately, we can probably say the same for dogs. Liver cancer is diagnosed using multiple access. Canine liver cancer can be primary (originated in the liver) or metastatic (spread to the liver). Owners need to be alert to signs of this dreaded disease to increase the on the other hand, another dog with a different type of liver cancer could be extremely sick, have tumors throughout his. Cancers often spread to the liver with metastasis, but primary liver cancer is rare in dogs. But the fact is that one in three dogs will eventually develop some form of cancer during their lifetime. Diagnosing liver cancer in dogs. Though not a common problem, hemangiosarcoma in dogs does happen. Whether you or someone you love has cancer, knowing what to expect can help you cope.
Tadinya pakai suzuki burgman 200, itu motor enak banget. Sistem eps ini bekerja secara elektrik, dimana mengandalkan motor listrik sebagai penggeraknya. Namun tersebar kabar dan dilihat dari desain fascia depan mirip dengan mitsubishi … Sampai akhirnya muncul xmax udah 250 cc ya kan, ditambah fitur lebih lengkap, tampang agresif, buka dito. Dito mulyawadi, owner rumah modifikasi suto garage pun turut kepincut dengan pesona xmax. DEALER DAIHATSU SURABAYA | DAIHATSU SURABAYA | SHOWROOM from dealerdaihatsusurabaya.com Sudah bisa diduga, paling tidak chery akan memboyong mobil full elektrik atau hybrid buat dijual di indonesia. Sampai akhirnya muncul xmax udah 250 cc ya kan, ditambah fitur lebih lengkap, tampang agresif, buka dito. Namun tersebar kabar dan dilihat dari desain fascia depan mirip dengan mitsubishi … Sistem eps ini bekerja secara...
How To Make A Simple Business Card - 31+ Professional & Simple Business Cards Templates For 2018 / Business card starting tutorials.how to make a simple business card design in coreldraw.اسلام و علیکم: . After all, simple designs which emphasize typography and white space really can look the business! Head over to the business cards page at next day flyers. Use a readable font as not everyone has perfect vision. These downloadable and free business card templates have everything you need in style, shape, and size so you can make a great impression. This photoshop tutorial i will show you the steps on how to create a simple business card templa. Choose a design you seem to be using safari. Including the name on your business card is a pretty obvious and needed line of information, but consider adding the name. Easily create your own business cards in seconds, using high quality professional designs, then download them for free as pdf or jpg. Make a logo for your p...
What Does Dimpling Look Like In Breast Cancer / Breast Cancer Dimpling Tips For Identification - The most common symptom of breast cancer is a new lump or mass, according to the american cancer society, but breast dimpling can also be a symptom, as well as swelling of all or part of the. . On some occasions, skin dimpling can be a sign of inflammatory breast cancer because cancer cells cause a buildup of lymph fluid in the breast which leads to swelling, dimpling, or pitted skin. Breast dimpling inflammatory breast cancer affects breast tissue and can appear unusually dimpled or thick. Other signs and symptoms suggestive of breast cancer are: The first breast cancer symptom many women notice is a lump or thickened tissue in their breast, but there are other signs of the disease that many of us may not be so aware of. It can appear bruised or puckered. Fibromatosis often surrounds the ducts and lobules of the breast, forming a lump that can be felt through the skin. I...
Komentar
Posting Komentar